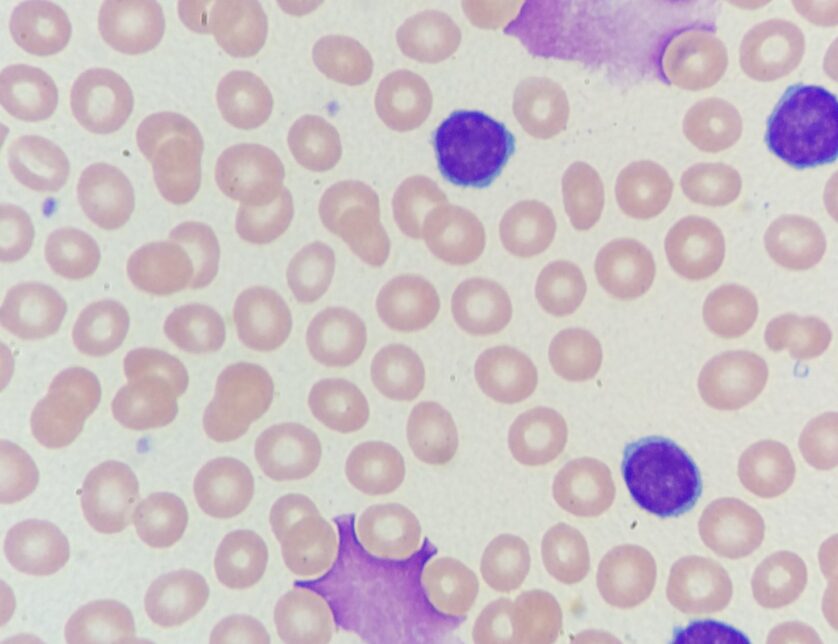
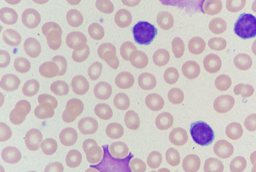
Image credit: Kerry Rogers MD

iwCLL is a global, non-profit community of leading physicians and scientists, committed to creating progress in the treatment and outcomes of patients with Chronic Lymphocytic Leukemia (CLL).

iwCLL Guidelines

The iwCLL Guidelines are a key resource for CLL treatment practitioners around the world.